矯正歯科・
歯のクリーニング・
ホワイトニング
TREATMENT
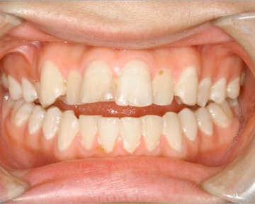
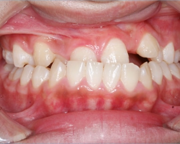
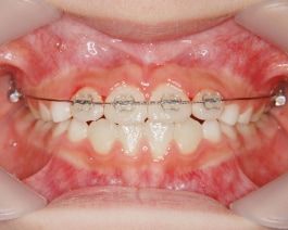
当院は、歯列矯正専門であることの強みを活かして、小児から成人まで、さまざまな不正咬合(歯の凸凹、出っ歯、受け口など)の矯正治療を行っています。
矯正治療では、一般的な表側の矯正装置から、歯の裏側につける舌側矯正、取り外し可能なマウスピース型矯正装置、就寝時に使用する装置など、さまざまな治療法があります。まずは精密検査を行い、患者様一人ひとりに合った治療法を立案し、専門性の高い矯正治療を提供しています。
また、歯並びを整えてから、歯のホワイトニングを行うとさらに美しい口元になります。
当院での矯正治療は、経験豊富な院長が担当しています。治療中の口腔衛生の向上を図るため、歯のクリーニングやブラッシング指導は、矯正治療に関する専門的知識を持った歯科衛生士が担当しています。
矯正治療の流れ
flow
初診相談(無料)
実際に口腔内を拝見しながら、悩みなどを伺います
精密検査
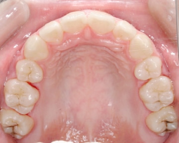
レントゲン撮影・歯型の採取・口腔内、顔貌写真撮影
矯正診断
精密検査の結果をもとに治療方針を決定
治療開始
治療方針に従って、いよいよ矯正治療を開始します
子どもの矯正治療
for kids
子どもの矯正治療で大切なこと
成長発育段階にある小児の場合、まずは健全な顎発育の誘導を行うことが大切です。
顎の成長を促進、あるいは抑制することで、上下顎の骨格的な不調和を是正します。また、歯列不正が顎の発育に悪影響を及ぼさないように、コントロールすることもあります。
指しゃぶりや舌の癖などは、長引くと歯並びに影響を及ぼすため、早めに改善しておく必要があります。このように、永久歯列期への移行がスムーズに進行するようにうまく誘導していきます。その結果、骨格的な不調和の改善や歯列不正の複雑化を防止し、最終的に非抜歯で矯正治療を終えられる可能性もあります。
矯正治療を開始する適切な時期は、お子様ごとに異なりますので、一度ご相談ください。
子どもの矯正治療の流れ
園児〜小学生(一期治療)
骨格的不調和の改善や歯列不正の複雑化の防止、悪習癖の改善を目的とした、土台作りの矯正治療から行います。
中学生ごろ〜(二期治療)
その後、永久歯列が完成したら、より緊密な嚙み合わせを作るために仕上げの矯正治療を行います
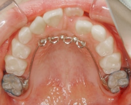
子どもの矯正装置の種類(例)
乳歯・混合歯列期に用いる矯正装置には様々なものがあります。
精密検査を行った上で、科学的根拠に基づいて、お子様一人ひとりに適切な矯正装置を選択します。
大人の矯正治療
for adult
矯正治療を受ける意義
歯並びを整えることで虫歯や歯周病、口臭の予防になります
正しい嚙み合せになると咀嚼機能が回復し胃腸での消化吸収を助けます
発音障害が改善し、滑舌がよくなります
歯並びが綺麗になると笑顔に自信が持てます
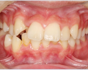
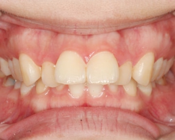
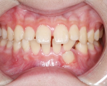
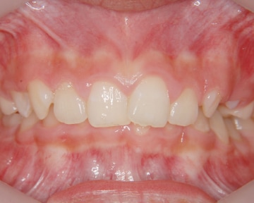
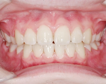
あなたの不正咬合のタイプは?
正しい歯並びと嚙み合わせのポイント
上下の正中がほぼ一致している
1歯対2歯で嚙み合っている
凸凹や隙間がない
歯の被蓋が適切
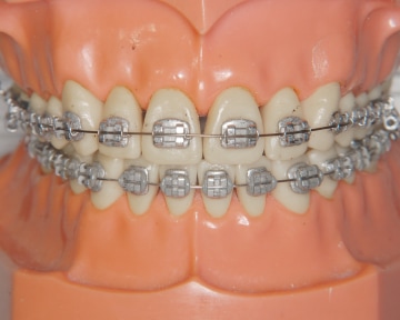
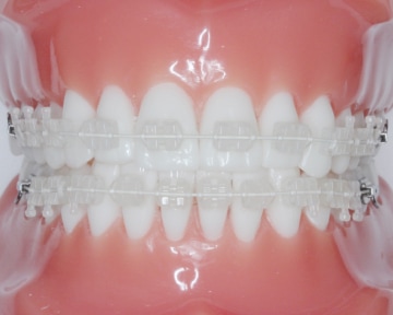
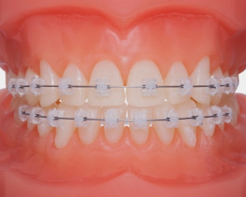
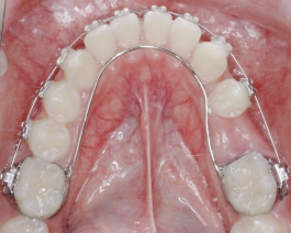
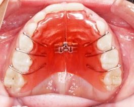
大人の矯正装置の種類(例)
大人の矯正装置にもさまざまな種類があります。
患者様のご希望や口腔内の状況により選択します。
矯正治療費
MENU
-
矯正相談
無料
-
検査・診断
50,000円
-
⼩児の矯正(成⻑期から開始する場合)
⼀期治療 350,000円
⼆期治療*⼆期治療は使⽤する装置により費⽤が異なります 350,000円〜
-
⼤⼈の矯正(永久⻭列期から開始する場合)
クリアブラケットを使⽤した場合 700,000円
セラミックブラケットを使⽤した場合 750,000円
⾆側矯正 900,000円
マウスピース型カスタムメイド矯正装置 900,000円
-
経過観察料
3,000円
-
矯正処置料
5,000円
-
*矯正治療費は自由診療です。公的医療保険は適用外です。
-
*分割払いが可能です。⾦利・⼿数料はかかりません。
-
*上記費⽤には、⾍⻭治療や矯正治療のための便宜抜⻭料は含まれません。
-
*上記費⽤は、税別です。
お問合せ・ご予約

