治療開始までの流れ
flow
矯正治療を
考え始める
よくある悩み
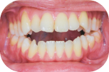
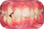
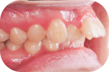
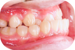
前歯でモノが
噛めない
前歯が凸凹で
見た目が気になる
出っ歯で口が
閉じづらい
受け口でものが
食べづらい
学校検診で歯並びを
指摘された
他院で矯正治療を
すすめられた
情報収集
矯正歯科専門のクリ
ニックで
治療を検討
お問合せ
・
来院予約
当院は、完全予約制です。
04-7136-1796 休診日|木・日祝
初診相談
実際に口腔内を拝見しながら
悩みなどを伺います。
初診相談は無料です。
精密検査
初診相談の日に
検査を受けることも
可能です。

来院いただいたら
初めにカウンセリング
シートをご記入
いただきます。

似た症例などを
交えて治療方法について
ご説明させて
いただきます。

口腔内と顔貌
写真撮影

レントゲン
撮影

歯型の採取
約1ヶ月後
診断
精密検査をもとに患者様一
人ひとりに
あった治療プラ
ンを提案します。
よくある質問
FAQ
矯正治療で痛みはありますか?
歯を動かす治療をする際には多少痛みを生じますが、1週間ぐらいで痛みを感じなくなることがほとんどです。
治療期間はどのぐらいかかりますか?
始める時期や症状により異なりますが、子供の矯正治療では永久歯列が完成するまで管理していきます。
大人の矯正治療では、個人差がありますが2年から3年ぐらいです。保定期間は約2年間です。
矯正治療をする時に抜歯をしますか?
精密検査を行い、どうしても必要と判断された場合は抜歯を行うことがあります。
ただし、その場合は患者様の同意を得た上で行います。
矯正治療の初診相談料はかかりますか?
相談のみであれば無料です。
矯正費用の支払い方法は?
一括払いと分割払いが可能です。
分割払いであっても、金利手数料はかかりません
保険適用できますか?
保険診療の対象となるのは、『厚生労働大臣の定める先天疾患に起因した咬合異常』、『前歯及び小臼歯の永久歯のうち3歯以上の萌出不全に起因した咬合異常(埋伏歯開窓術を必要とするものに限る)』、『顎変形症』です。
それ以外の一般的な矯正治療は自費診療になります。
医療費控除の対象になりますか?
発育段階にある子どもの矯正治療は対象になります。
大人の矯正治療では、審美が目的の場合は対象になりません。
子供の矯正治療はいつ頃から始めた方がいいですか?
通常は前歯の永久歯が出てきた頃が、開始するには良い時期です。
ただし、反対咬合の場合は、もう少し早い段階から治療開始することがあります。
矯正治療を始めたいが年齢が気になります。中高年でも矯正治療は可能でしょうか?
年齢に関係なく、中高年の方の矯正治療も可能です。
ただし、歯周病や補綴治療などの状況により、制約が出てくる場合があります。
他院で子どもの矯正治療を受けましたが、続きを診てもらえますか?
他院で受けた矯正治療の続きを当院で行うことは可能ですが、検査・診断が必要になることがあります。
矯正治療を始めたいが、転勤が心配です。
転勤の時期により、早めに開始した方がいい場合と転勤後に落ち着いて開始した方がいい場合がありますので、ご相談ください。
矯正治療中の歯磨きが心配です。
装置装着後にブラッシング指導を行います。
その際に、矯正治療用の歯ブラシやフロス、洗口液の使い方など詳しくご説明致します。
通院中は歯科衛生士による専門的なクリーニングも行なっています。
小さな子どもと一緒に通院しても良いですか?
キッズスペースを用意しています。また、当院スタッフに託児することも可能ですので、安心して治療を受けることができます。ご予約時にお伝えください。
駐車場はありますか?
当院の患者様専用の駐車場が3台併設されております。
お問合せ・ご予約

